Απόστημα στο δόντι: 4 φυσικοί τρόποι αντιμετώπισης (εικόνες)
Inside Stories

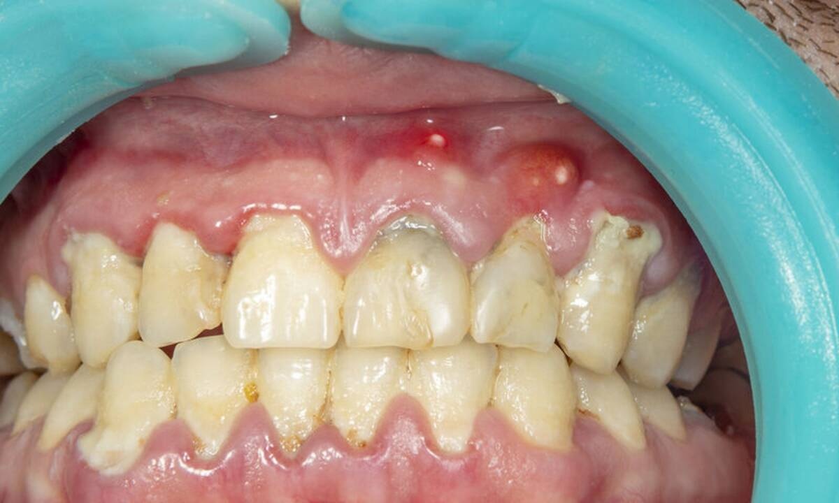
Απόστημα στο δόντι: 4 φυσικοί τρόποι αντιμετώπισης (εικόνες)

Η συγκέντρωση πύου στα ούλα ή στη ρίζα του δοντιού, που οφείλεται στην ύπαρξη φλεγμονής, ονομάζεται απόστημα.

Τα αποστήματα εμφανίζονται συνήθως μετά από οδοντιατρική χειρουργική επέμβαση, εξαιτίας λοίμωξης των ούλων, τραυματισμού ή φθοράς των δοντιών.

Εάν η λοίμωξη δεν θεραπευτεί, μπορεί να εξαπλωθεί σε άλλα σημεία του στόματος αλλά και στο αίμα, απειλώντας σοβαρά τη ζωή.

Τα συμπτώματα ενός αποστήματος είναι οίδημα στην περιοχή, έντονος πόνος και πικρή επίγευση κατά τη μάσηση ή κατά την πόση ροφημάτων, κακοσμία, ερυθρότητα και έντονο πρήξιμο των ούλων στην περιοχή του δοντιού με το πρόβλημα.

Δείτε στη gallery που ακολουθεί 4 φυσικούς τρόπους για την αντιμετώπιση των αποστημάτων:

Διαβάστε περισσότερα στο Onmed.gr

ΡΟΗ ΕΙΔΗΣΕΩΝ
©2010-2026 Gossip-tv.gr - All rights reserved