Απόστημα στο δόντι: 4 φυσικοί τρόποι αντιμετώπισης (εικόνες)
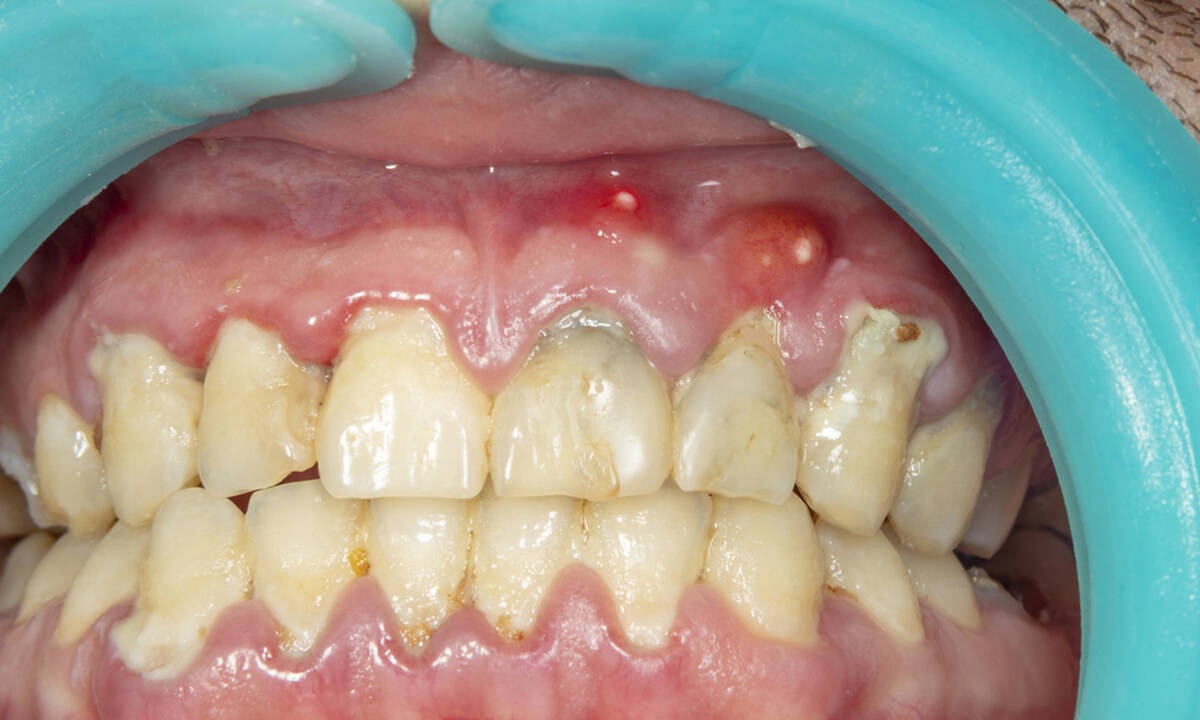
Η συγκέντρωση πύου στα ούλα ή στη ρίζα του δοντιού, που οφείλεται στην ύπαρξη φλεγμονής, ονομάζεται απόστημα.
Τα αποστήματα εμφανίζονται συνήθως μετά από οδοντιατρική χειρουργική επέμβαση, εξαιτίας λοίμωξης των ούλων, τραυματισμού ή φθοράς των δοντιών.
Διαβάστε περισσότερα στο Onmed.gr
ΡΟΗ ΕΙΔΗΣΕΩΝ